Aby uniknąć suchego zębodołu po ekstrakcji zęba, kluczowe jest przestrzeganie zaleceń stomatologa oraz odpowiednia pielęgnacja jamy ustnej. Suche zębodoły mogą prowadzić do intensywnego bólu i dyskomfortu, dlatego ważne jest, aby stosować się do wskazówek dotyczących opieki pooperacyjnej. W pierwszych godzinach po zabiegu należy unikać palenia papierosów, picia alkoholu oraz intensywnego płukania jamy ustnej, co może zaszkodzić naturalnemu procesowi gojenia.
Higiena jamy ustnej powinna być prowadzona delikatnie, aby nie uszkodzić skrzepu, który jest kluczowy dla prawidłowego gojenia. Dodatkowo, osoby z chorobami przewlekłymi, takimi jak cukrzyca czy nadciśnienie, powinny zachować szczególną ostrożność, ponieważ ich ryzyko powikłań jest większe. W artykule omówimy skuteczne metody, które pomogą Ci uniknąć bólu i przyspieszyć proces gojenia.
Kluczowe wnioski:
- Przestrzeganie zaleceń stomatologa jest kluczowe dla uniknięcia suchego zębodołu.
- Unikaj palenia papierosów i alkoholu przez co najmniej 72 godziny po zabiegu.
- Delikatna higiena jamy ustnej jest niezbędna, aby nie uszkodzić skrzepu.
- Stosowanie przepisanych płukanek antyseptycznych wspiera proces gojenia.
- Osoby z chorobami przewlekłymi powinny zachować szczególną ostrożność.
Jak uniknąć suchego zębodołu po ekstrakcji: kluczowe wskazówki
Aby uniknąć suchego zębodołu po ekstrakcji zęba, niezwykle ważne jest przestrzeganie zaleceń stomatologa oraz odpowiednia pielęgnacja jamy ustnej. Po zabiegu należy unikać palenia papierosów, które zwiększa ryzyko powikłań, oraz intensywnego płukania jamy ustnej, które może uszkodzić skrzep krwi. W pierwszych godzinach po ekstrakcji nie należy spożywać ciepłych napojów ani pokarmów, aby nie podrażnić rany. Dokładne przestrzeganie tych zasad jest kluczowe dla zapewnienia prawidłowego gojenia i uniknięcia bólu.
Higiena jamy ustnej odgrywa kluczową rolę w procesie regeneracji. Należy myć zęby delikatnie, unikając intensywnego szczotkowania w okolicy rany, aby nie uszkodzić skrzepu. Stosowanie przepisanych płukanek antyseptycznych, najlepiej bez alkoholu, może wspierać proces gojenia. Dodatkowo, zimne okłady na zewnątrz policzka mogą pomóc w zmniejszeniu obrzęku i dyskomfortu. Przestrzeganie tych zaleceń znacząco zwiększa szanse na szybkie i bezproblemowe gojenie.
Odpowiednia higiena jamy ustnej: jak to zrobić bezpiecznie
Utrzymanie odpowiedniej higieny jamy ustnej po ekstrakcji zęba jest kluczowe dla uniknięcia powikłań, takich jak suchy zębodoł. Po zabiegu należy myć zęby delikatnie, używając miękkiej szczoteczki, aby nie uszkodzić skrzepu, który jest niezbędny dla prawidłowego gojenia. Warto unikać intensywnego szczotkowania w okolicy rany, aby zminimalizować ryzyko podrażnienia. Płukanie jamy ustnej można rozpocząć dopiero po kilku dniach, a najlepiej stosować do tego przepisane płukanki antyseptyczne, które nie zawierają alkoholu. Dodatkowo, zimne okłady na zewnątrz policzka mogą pomóc w zmniejszeniu obrzęku i dyskomfortu.
Unikanie palenia i alkoholu: dlaczego to takie ważne?
Palenie papierosów oraz spożywanie alkoholu mają szkodliwy wpływ na proces gojenia po ekstrakcji zęba, co zwiększa ryzyko wystąpienia suchego zębodołu. Substancje zawarte w dymie tytoniowym mogą ograniczać przepływ krwi do obszaru rany, co spowalnia regenerację tkanek i osłabia układ odpornościowy. Ponadto, palenie może prowadzić do podrażnienia rany, co dodatkowo utrudnia gojenie. Alkohol, z kolei, może powodować odwodnienie organizmu oraz osłabiać zdolność organizmu do walki z infekcjami. Dlatego tak ważne jest, aby unikać tych używek przynajmniej przez kilka dni po zabiegu, aby wspierać zdrowe gojenie.
Dieta po ekstrakcji: co jeść, a czego unikać?
Po ekstrakcji zęba kluczowe jest, aby dieta wspierała proces gojenia. Zaleca się spożywanie miękkich pokarmów, takich jak jogurt, puree ziemniaczane czy zupy kremowe, które nie podrażnią rany. Należy unikać twardych, chrupiących i ostrych potraw, które mogą uszkodzić skrzep krwi i zwiększyć ryzyko powikłań. Oprócz tego, warto pić dużo wody, aby utrzymać odpowiedni poziom nawodnienia. Wprowadzenie do diety pokarmów bogatych w witaminy i minerały, takich jak owoce i warzywa, może również przyspieszyć proces regeneracji.
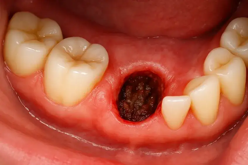
Jak postępować w przypadku wystąpienia objawów suchego zębodołu
W przypadku wystąpienia objawów suchego zębodołu, ważne jest, aby jak najszybciej podjąć odpowiednie kroki. Objawy, które mogą wskazywać na ten problem, to intensywny ból w okolicy zębodołu, nieprzyjemny zapach z ust oraz widoczna pustka w miejscu usuniętego zęba. Jeśli zauważysz te symptomy, powinieneś niezwłocznie skontaktować się z dentystą, ponieważ ignorowanie objawów może prowadzić do poważniejszych komplikacji. Wczesna interwencja jest kluczowa dla skutecznego leczenia i złagodzenia bólu.
Ważne jest również, aby zrozumieć różnice między normalnym procesem gojenia a objawami suchego zębodołu. Podczas normalnego gojenia ból powinien stopniowo ustępować, natomiast w przypadku suchego zębodołu ból może się nasilać. Poniżej znajduje się tabela, która pomoże Ci zrozumieć, kiedy należy zgłosić się do dentysty.
| Objaw | Normalne gojenie | Suche zębodoły |
|---|---|---|
| Ból | Stopniowo ustępuje | Nasila się z dnia na dzień |
| Zapach z ust | Brak | Nieprzyjemny zapach |
| Wygląd zębodołu | Skrzep obecny | Widoczna pustka |
Rozpoznawanie objawów: kiedy zgłosić się do dentysty?
Rozpoznanie objawów suchego zębodołu jest kluczowe dla szybkiej interwencji. Jeśli odczuwasz intensywny ból, który nie ustępuje, oraz zauważysz nieprzyjemny zapach z ust, powinieneś jak najszybciej zgłosić się do dentysty. Inne objawy, które mogą wskazywać na ten problem, to widoczna pustka w miejscu ekstrakcji oraz obrzęk. Im szybciej podejmiesz działania, tym większe masz szanse na uniknięcie poważniejszych komplikacji związanych z gojeniem.
Domowe metody łagodzenia bólu: co może pomóc?
Jeśli doświadczasz bólu związanego z suchem zębodołem, istnieje kilka domowych metod, które mogą przynieść ulgę. Jedną z najskuteczniejszych metod jest stosowanie zimnych okładów na zewnątrz policzka, co pomaga zmniejszyć obrzęk i łagodzi ból. Możesz także spróbować płukać jamę ustną ciepłą solą, co działa przeciwzapalnie i może przynieść ulgę. Inne skuteczne domowe sposoby to picie herbaty z rumianku, która ma właściwości łagodzące, oraz stosowanie ekstraktu z wanilii, który może działać znieczulająco na wrażliwe miejsca. Pamiętaj jednak, że te metody są jedynie tymczasowym rozwiązaniem i w przypadku nasilającego się bólu zawsze należy skontaktować się z dentystą.
Czytaj więcej: Jak uniknąć zmarszczek - skuteczne sposoby na młodszą skórę
Jak technologia wspiera proces gojenia po ekstrakcji zęba
W dobie nowoczesnych technologii, innowacyjne rozwiązania mogą znacząco wspierać proces gojenia po ekstrakcji zęba, co jest szczególnie istotne dla osób z chorobami przewlekłymi. Aplikacje mobilne mogą przypominać pacjentom o przyjmowaniu leków oraz przestrzeganiu zaleceń dotyczących higieny jamy ustnej. Dodatkowo, urządzenia do monitorowania zdrowia mogą śledzić parametry życiowe, umożliwiając lekarzom szybką reakcję na ewentualne problemy. Wykorzystanie telemedycyny pozwala na zdalne konsultacje z dentystą, co jest korzystne dla pacjentów z ograniczoną mobilnością.
Warto również rozważyć zastosowanie technologii 3D w planowaniu leczenia stomatologicznego, co może zwiększyć precyzję zabiegów i zmniejszyć ryzyko powikłań. Dzięki tym nowoczesnym rozwiązaniom pacjenci mogą mieć większą kontrolę nad swoim zdrowiem, co sprzyja szybszemu i efektywniejszemu gojeniu. Inwestowanie w technologię może zatem przyczynić się do lepszego zarządzania zdrowiem jamy ustnej i minimalizowania ryzyka suchego zębodołu.
